Ecocardiograma 2D y Doppler color en Albacete

Estudio ecográfico del corazón para analizar cavidades, válvulas y flujo sanguíneo

DR PORTERO

Dr. Juan José Portero

Colegiado Nº 02/0204061

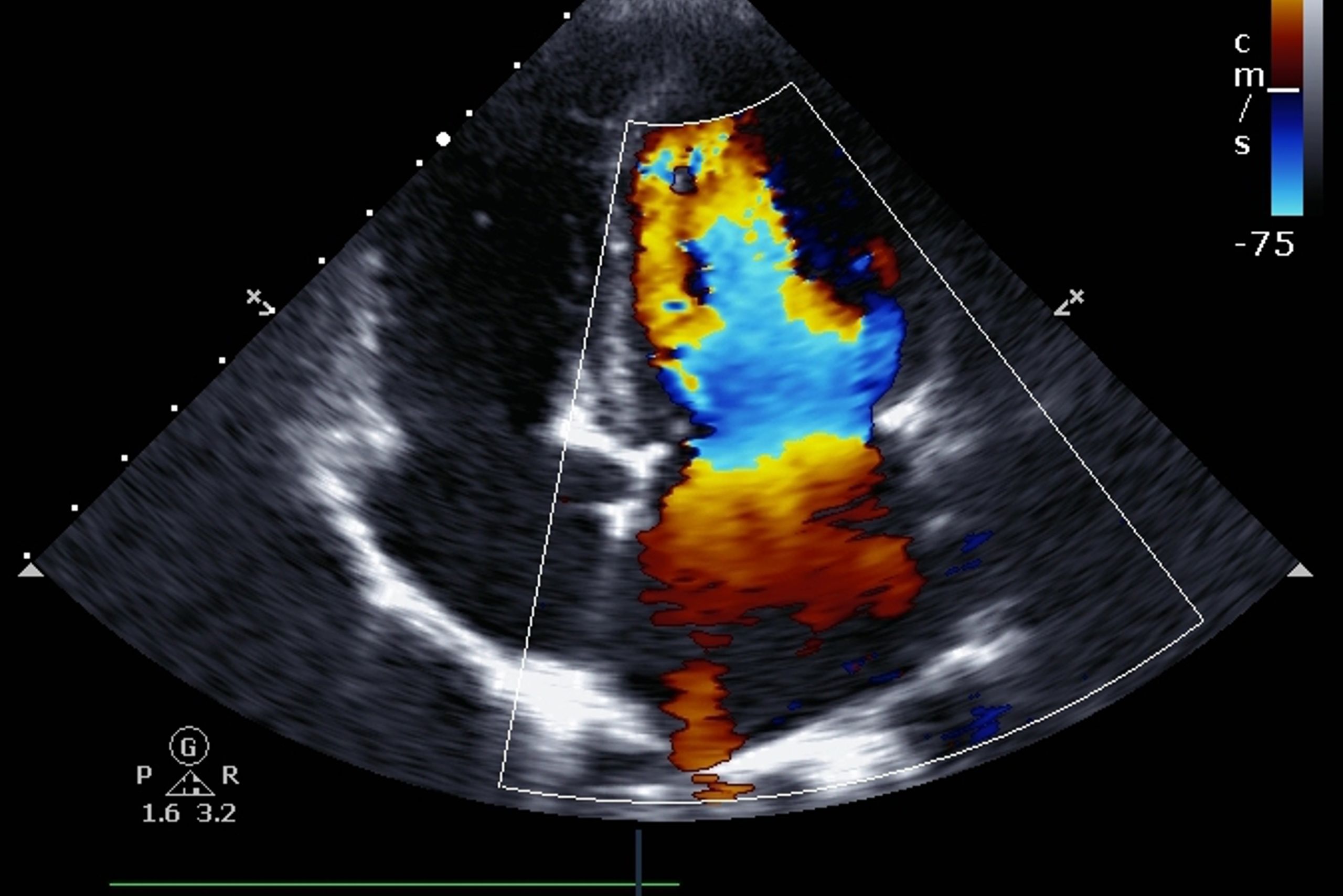
Ecocardiograma 2D con Doppler color realizado por cardiólogo

El ecocardiograma 2D con Doppler color es una prueba cardiológica avanzada que realizo para estudiar el corazón en movimiento y valorar con precisión su estructura y funcionamiento. A través de esta técnica puedo analizar las cavidades cardíacas, la fuerza de contracción del músculo y el estado de las válvulas, así como observar cómo circula la sangre en su interior.

El Doppler color aporta información clave sobre el flujo sanguíneo, permitiendo detectar alteraciones como fugas valvulares, estrechamientos o cambios en las presiones intracardíacas. 

Durante la exploración obtengo imágenes en tiempo real y interpreto el estudio en el contexto clínico, teniendo en cuenta tus síntomas, antecedentes y exploración física.

Ecocardiograma en Albacete
Doppler a color en Albacete
Ecocardiograma con ultrasonido Doppler a color

Para qué sirve un ecocardiograma 2D con Doppler color

El ecocardiograma 2D con Doppler color es una de las pruebas más completas para valorar el corazón. Me permite estudiar no solo la forma y el movimiento del corazón, sino también cómo circula la sangre en su interior, algo fundamental para detectar muchas enfermedades cardíacas.

Con esta prueba puedo:

;

Valorar el tamaño y la función de las cavidades cardíacas

;

Analizar el estado de las válvulas cardíacas

;

Estudiar el flujo sanguíneo mediante Doppler color

;

Identificar alteraciones estructurales que no se aprecian en pruebas más simples

Cuándo conviene hacerse un ecocardiograma

Hay situaciones clínicas en las que el ecocardiograma 2D con Doppler color aporta información clave para aclarar síntomas, confirmar diagnósticos o realizar un seguimiento adecuado. En mi práctica diaria, lo indico cuando necesito valorar con detalle la estructura y el funcionamiento del corazón.

Aparece falta de aire durante esfuerzos habituales o incluso en reposo

Hay hipertensión arterial mantenida o con control insuficiente

Se detecta un soplo cardíaco durante la exploración física rutinaria

Seguimiento de una enfermedad cardíaca ya diagnosticada

Existen palpitaciones persistentes sin causa clara en el electrocardiograma

Se ha sufrido un infarto previo o existen antecedentes

Preguntas frecuentes sobre el ecocardiograma 2D con Doppler color

¿El ecocardiograma es una prueba dolorosa?

No. El ecocardiograma es una prueba indolora y no invasiva. Solo notarás el contacto del transductor sobre el pecho mientras obtengo las imágenes.

¿Necesito algún tipo de preparación previa?

No es necesario acudir en ayunas ni suspender la medicación habitual, salvo que te indique lo contrario de forma específica. Puedes venir con total normalidad.

¿Cuánto tiempo dura un ecocardiograma?

La prueba suele durar entre 15 y 30 minutos, dependiendo del estudio necesario y de la calidad de las imágenes obtenidas.

¿El Doppler color es siempre necesario?

Sí. El Doppler color forma parte del estudio completo, ya que permite analizar el flujo de la sangre y el funcionamiento de las válvulas, aportando información que no se obtiene solo con la imagen 2D.

¿Un ecocardiograma normal descarta todos los problemas del corazón?

No siempre. Un ecocardiograma normal descarta muchas alteraciones estructurales, pero algunas enfermedades requieren otras pruebas complementarias según los síntomas.

¿Puedo hacer vida normal después de la prueba?

Sí. Tras el ecocardiograma puedes retomar tu actividad diaria con total normalidad, ya que no deja ningún tipo de efecto secundario.